أصيب شاب، بتمزق خطير في قصبته الهوائية بعد محاولته كبت العطاس.
ونقلت صحيفة “ديلي ميل” عن أطباء بريطانيون أبلغوا عن الحالة، إنها حالة موثقة لكبت عطاس يؤدي إلى إصابة يمكن أن تهدد الحياة.
وأوضح الأطباء أن قمع العطس عن طريق إغلاق الأنف والفم تسبب في خروج الهواء المضغوط إلى أنسجة رقبة الرجل وصدره، ما أدى إلى تمزيق الأنسجة الحساسة.
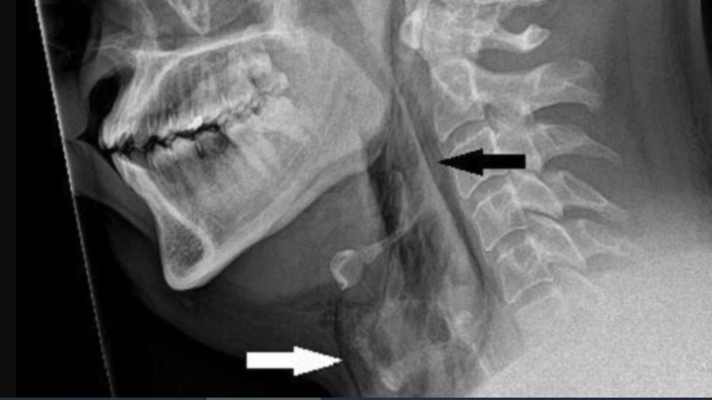
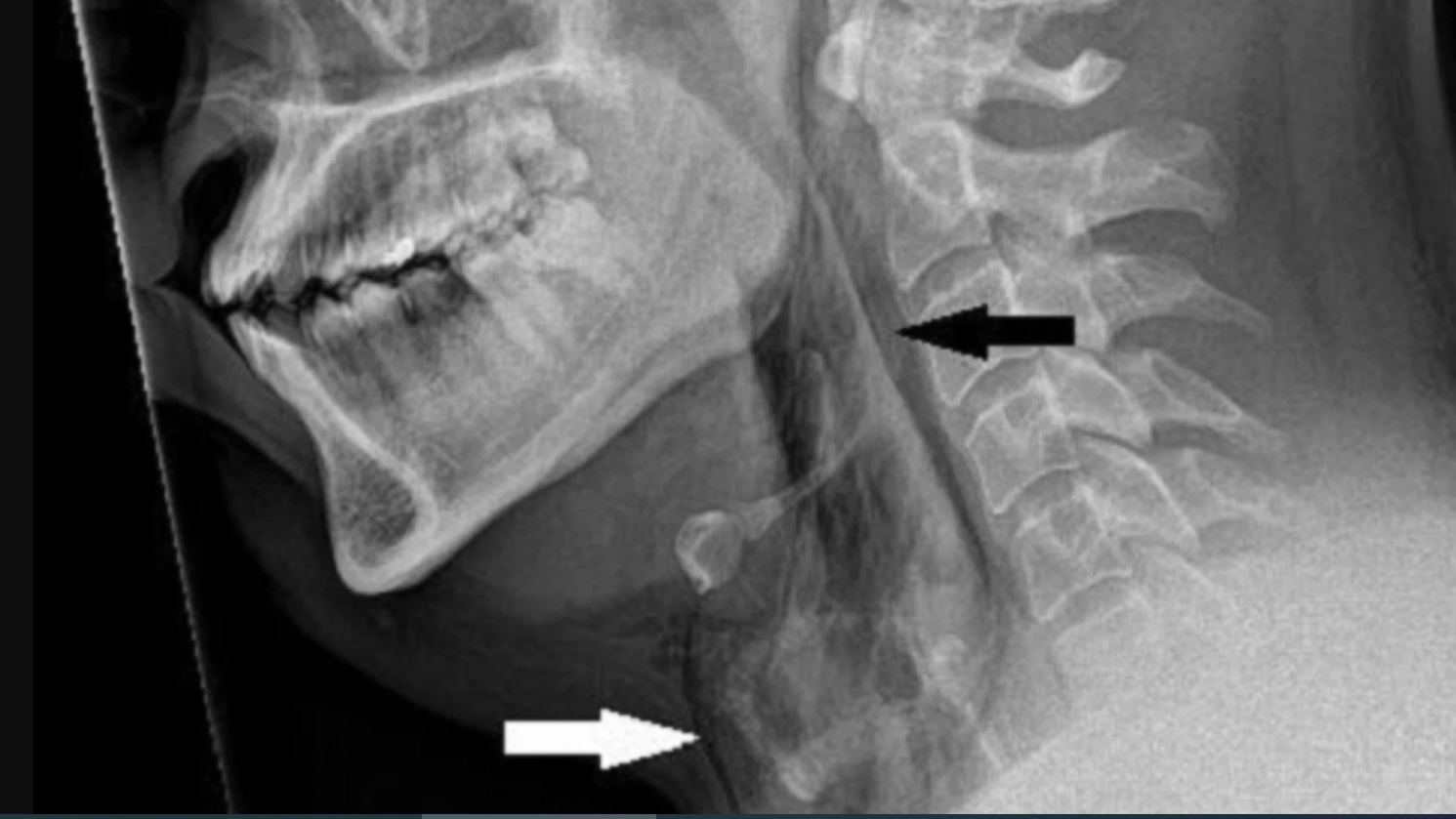
وأبلغ الأطباء في مستشفى ناينويلز في دندي، اسكتلندا، دخل المريض إلى المستشفى وهو يشكو من آلام شديدة في الرقبة مرتبطة بالعطاس.
ولاحظ الأطباء صوت طقطقة خافت عندما تحسسوا رقبته، والتي لم يتمكن الرجل من تحريكها بشكل صحيح.
وكشفت عمليات المسح بحسب (RT) عن تمزق في القصبة الهوائية، وفي الحالات الشديدة، يمكن أن تؤدي تمزقات القصبة الهوائية إلى تضييق المسالك الهوائية، ما يسبب مشاكل في التنفس تهدد الحياة.
وفي الحالة التي تم الإبلاغ عنها مؤخرا، ارتفع الضغط في الشعب الهوائية بما يصل إلى 20 مرة أعلى من المعتاد، وذلك بسبب تأثير حبس العطاس.
وقال الأطباء: “نشتبه في أن القصبة الهوائية مثقوبة بسبب التراكم السريع للضغط في القصبة الهوائية أثناء العطاس مع أنف مسدود وفم مغلق”.
وقد يفكر الأطباء الذين يعالجون تمزق القصبة الهوائية في إجراء عملية جراحية إذا كان المريض لا يستطيع التنفس من تلقاء نفسه أو إذا امتد التمزق إلى المساحة المحيطة بالرئتين.
وهناك حاجة أيضا إلى إجراء عملية جراحية إذا كان هناك تراكم مستمر للهواء تحت الجلد أو داخل الصدر.
ولا يعد تمزق القصبة الهوائية الإصابة الوحيدة التي يمكن أن تنشأ نتيجة لقمع العطاس. فقد أبلغ الأطباء في المملكة المتحدة عن حالة في عام 2018 لرجل أصيب بتمزق شديد في البلعوم، نتيجة كتمه للعطاس.
