Close Menu
أخبار الإمارات اليومأخبار الإمارات اليوم
  • الرئيسية
  • تريندينغ
  • الإمارات
  • مال واعمال
  • رياضة
  • تقنية
  • الصحة والجمال
  • المزيد
    • مقالات
    • لايف ستايل
رائج الآن

أكثر أخطاء التصوير بالجوال شيوعًا وكيفية إصلاحها

2026-04-16

أفضل تمارين يومية للحفاظ على اللياقة

2026-04-13

خطوات المكياج بالترتيب: دليل شامل لتحصلي على مكياج مثالي

2026-04-13
فيسبوك X (Twitter) الانستغرام
أخبار الإمارات اليومأخبار الإمارات اليوم
  • الرئيسية
  • تريندينغ
  • الإمارات
  • مال واعمال
  • رياضة
  • تقنية
  • الصحة والجمال
  • المزيد
    • مقالات
    • لايف ستايل
أخبار الإمارات اليومأخبار الإمارات اليوم
الرئيسية»لايف ستايل»دعوى قضائية ضد مستشفى بعدما ابتلع أحد المرضى مفتاحا وتوفي
لايف ستايل

دعوى قضائية ضد مستشفى بعدما ابتلع أحد المرضى مفتاحا وتوفي

فريق التحريربواسطة فريق التحرير2025-06-192 دقائق
فيسبوك تويتر بينتيريست تيلقرام لينكدإن Tumblr واتساب البريد الإلكتروني
شاركها
فيسبوك تويتر لينكدإن بينتيريست تيلقرام البريد الإلكتروني

 

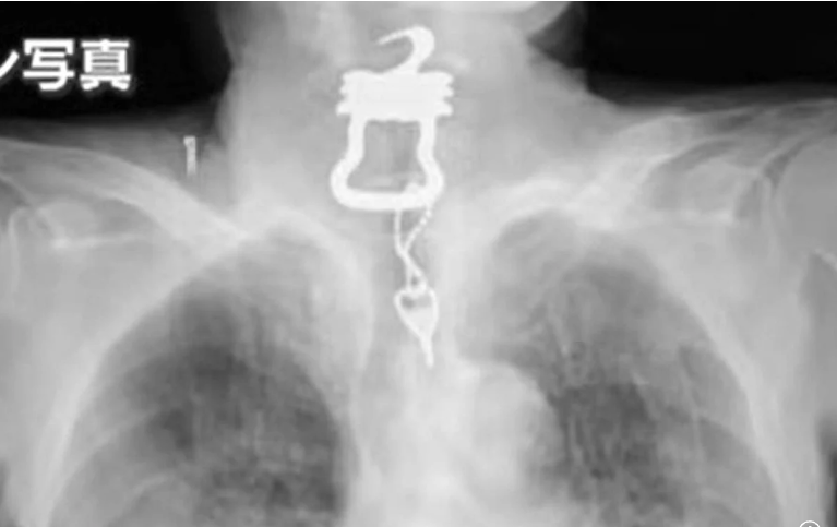
يواجه مستشفى في اليابان دعوى قضائية بتهمة الإهمال بعد اكتشاف أن مريضًا مسنًا ابتلع مفتاحًا خلال وجوده في جناح الرعاية وتوفي لاحقًا، مما أثار مخاوف بشأن رعاية مرضى الخرف في الدولة التي تشهد شيخوخة سريعة.

ونُقل كينيتشي أونيشي، 82 عامًا، إلى مستشفى أوساكا في يناير 2022 بعد كسر عظمة صدره إثر سقوطه. وبعد بضعة أشهر، في سبتمبر، اشتكى من ألم في الحلق وشُخِّصت إصابته بفيروس كوفيد-19. ومع ذلك، أظهرت الأشعة السينية على الصدر ظلًا كبيرًا في حلقه، والذي تم تحديده لاحقًا على أنه مفتاح بطول 12 سم متصل بسلسلة مفاتيح.

وقال ابنه البالغ من العمر 55 عامًا، وفقًا لقناة “يوميوري”: “في البداية، تخيلت أنه مفتاح صغير ابتلعه عن طريق الخطأ”. لكن عندما رأيته، صُدمتُ. كان ثقيلًا وشكله غريبًا.” وأوضح “كان المفتاح المعدني، مع سلسلة على شكل أوزة ذات حواف حادة” وهو كما تبين مفتاح ملابس يُستخدم لتأمين بذلة خاصة مصممة لمنع المرضى من العبث بالمعدات الطبية أو الحفاضات، وكان والده، الذي شُخِّص بالخرف الخفيف، يرتدي البدلة أثناء إقامته.

وتوفي أونيشي، الذي كان يدير مطبعة في أوساكا، بعد أيام قليلة من صورة الأشعة السينية وإزالة المفتاح. وبعد عام من وفاة أونيشي، أخبر المستشفى العائلة أن المفتاح ربما وُضع على طاولة بالقرب من سرير المريض، وربما ابتلعه عن طريق الخطأ. ولكن الأسرة تعتقد أن المفتاح تسبب بشكل مباشر في مضاعفات تهدد حياته، بما في ذلك الالتهاب الرئوي التنفسي، والذي أدى في النهاية إلى وفاته.

وقال الابن: “لم تكن إصابته بكوفيد-19 خطيرة، وتفسيرات المستشفى تتغير باستمرار. عليهم إعادة النظر في خطورة تكليفهم بأرواح بشرية”. وفي أبريل، رفعت الأسرة دعوى قضائية بالإهمال أمام محكمة مقاطعة أوساكا ضد المستشفى، مطالبةً بتعويض قدره 16.5 مليون ين (114 ألف دولار أمريكي)

وفي حين أقر المستشفى في وثائق عام 2023 المقدمة للعائلة بإساءة التعامل مع المفتاح، إلا أنه نفى وجود أي صلة بين ابتلاع المفتاح المعدني ووفاة أونيشي.

 

 

شاركها. فيسبوك تويتر بينتيريست لينكدإن Tumblr البريد الإلكتروني

المقالات ذات الصلة

أفضل تمارين يومية للحفاظ على اللياقة

2026-04-13

خطوات المكياج بالترتيب: دليل شامل لتحصلي على مكياج مثالي

2026-04-13

اختصاصيو تغذية: لإنقاص الوزن المثلجات ليست مممنوعة بالكامل

2026-04-04

موجة غبار كثيفة تغطي 12 دولة في المنطقة .. من أين جاءت ؟

2026-04-04

وفاة مصري في الأردن حزناً بعد مقتل أطفاله وانتحار زوجته في مصر

2026-04-04

عمرها 193 عاماً .. تعرَّف على السلحفاة التي عاصرت والتقت قدماء الملوك والرؤساء

2026-04-04

رائج الآن

لايف ستايل

أفضل تمارين يومية للحفاظ على اللياقة

بواسطة فريق التحرير
لايف ستايل

خطوات المكياج بالترتيب: دليل شامل لتحصلي على مكياج مثالي

بواسطة فريق التحرير
اخبار الرياضة

انتصارات مهمة للعربي وحتا والعروبة.. وتعادل ثمين للذيد في دوري «الأولى»

بواسطة فريق التحرير

اختيارات المحررين

بلدية دبي تفتتح 35 حديقة جديدة بتكلفة 348 مليون درهم خلال العام الجاري

2026-04-05

مدرب الجزيرة: طرد مدافع شباب الأهلي كان سيغير مجريات المباراة

2026-04-05

1461 شهيدا منذ بدء عدوان الاحتلال على لبنان

2026-04-05

كاسبرسكي تتصدر اختبارات الأمن السيبراني في 2025 بنتائج قياسية

2026-04-05
© 2026 اخبار الإمارات اليوم. جميع الحقوق محفوظة.
  • من نحن
  • سياسة الخصوصية
  • الشروط والأحكام
  • اتصل بنا

اكتب كلمة البحث ثم اضغط على زر Enter