Close Menu
أخبار الإمارات اليومأخبار الإمارات اليوم
  • الرئيسية
  • تريندينغ
  • الإمارات
  • مال واعمال
  • رياضة
  • تقنية
  • الصحة والجمال
  • المزيد
    • مقالات
    • لايف ستايل
رائج الآن

أكثر أخطاء التصوير بالجوال شيوعًا وكيفية إصلاحها

2026-04-16

أفضل تمارين يومية للحفاظ على اللياقة

2026-04-13

خطوات المكياج بالترتيب: دليل شامل لتحصلي على مكياج مثالي

2026-04-13
فيسبوك X (Twitter) الانستغرام
أخبار الإمارات اليومأخبار الإمارات اليوم
  • الرئيسية
  • تريندينغ
  • الإمارات
  • مال واعمال
  • رياضة
  • تقنية
  • الصحة والجمال
  • المزيد
    • مقالات
    • لايف ستايل
أخبار الإمارات اليومأخبار الإمارات اليوم
الرئيسية»لايف ستايل»اكتشاف بيوض ديدان في دماغ رجل بسبب “لحم مقدد”
لايف ستايل

اكتشاف بيوض ديدان في دماغ رجل بسبب “لحم مقدد”

فريق التحريربواسطة فريق التحرير2024-03-141 دقائق
فيسبوك تويتر بينتيريست تيلقرام لينكدإن Tumblr واتساب البريد الإلكتروني
شاركها
فيسبوك تويتر لينكدإن بينتيريست تيلقرام البريد الإلكتروني

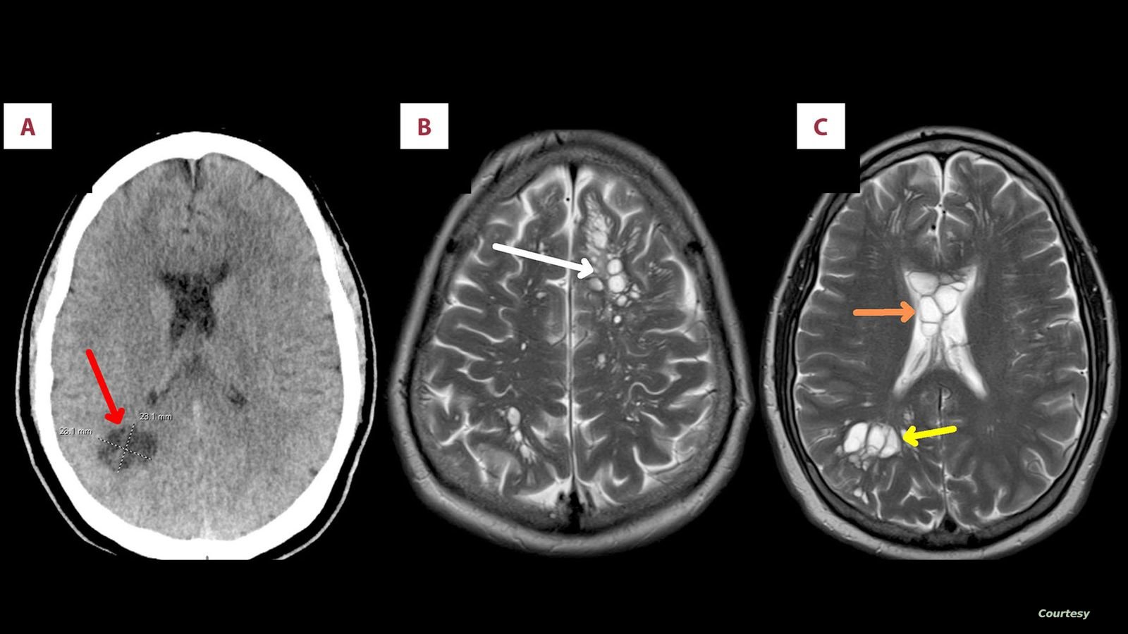
اكتشفت رجل أمريكي في الخمسينات من العمر  وجود بيض الدودة الشريطية في دماغه بعد زيادة آلام الصداع النصفي التي كان يعاني منها.

وأوضح الأطباء أن مرد هذه الحالة كان سببه، تناول الرجل لحم الخنزير المقدد غير المطبوخ جيدًا، وفقا لما ذكرت شبكة “سكاي نيوز” البريطانية.

وكشف تصوير بالأشعة المقطعية أجراه أطباء لدماغ الرجل، عن بيوض الدودة الشريطية، وتم تشخيص المريض بداء الكيسات المذنَّبة العصبي.

وذلك الداء هو نوع خاص من داء الكيسات المذنبة، يحدث بسبب عدوى بالشريطية الوحيدة، وهي شريطية حقيقية (Eucestoda) تُوجد في الخنازير، والتي يمكن أن تصل إلى الأنسجة مثل العضلات والدماغ.

شاركها. فيسبوك تويتر بينتيريست لينكدإن Tumblr البريد الإلكتروني

المقالات ذات الصلة

أفضل تمارين يومية للحفاظ على اللياقة

2026-04-13

خطوات المكياج بالترتيب: دليل شامل لتحصلي على مكياج مثالي

2026-04-13

اختصاصيو تغذية: لإنقاص الوزن المثلجات ليست مممنوعة بالكامل

2026-04-04

موجة غبار كثيفة تغطي 12 دولة في المنطقة .. من أين جاءت ؟

2026-04-04

وفاة مصري في الأردن حزناً بعد مقتل أطفاله وانتحار زوجته في مصر

2026-04-04

عمرها 193 عاماً .. تعرَّف على السلحفاة التي عاصرت والتقت قدماء الملوك والرؤساء

2026-04-04

رائج الآن

لايف ستايل

أفضل تمارين يومية للحفاظ على اللياقة

بواسطة فريق التحرير
لايف ستايل

خطوات المكياج بالترتيب: دليل شامل لتحصلي على مكياج مثالي

بواسطة فريق التحرير
اخبار الرياضة

انتصارات مهمة للعربي وحتا والعروبة.. وتعادل ثمين للذيد في دوري «الأولى»

بواسطة فريق التحرير

اختيارات المحررين

بلدية دبي تفتتح 35 حديقة جديدة بتكلفة 348 مليون درهم خلال العام الجاري

2026-04-05

مدرب الجزيرة: طرد مدافع شباب الأهلي كان سيغير مجريات المباراة

2026-04-05

1461 شهيدا منذ بدء عدوان الاحتلال على لبنان

2026-04-05

كاسبرسكي تتصدر اختبارات الأمن السيبراني في 2025 بنتائج قياسية

2026-04-05
© 2026 اخبار الإمارات اليوم. جميع الحقوق محفوظة.
  • من نحن
  • سياسة الخصوصية
  • الشروط والأحكام
  • اتصل بنا

اكتب كلمة البحث ثم اضغط على زر Enter