اكتشفت رجل أمريكي في الخمسينات من العمر وجود بيض الدودة الشريطية في دماغه بعد زيادة آلام الصداع النصفي التي كان يعاني منها.
وأوضح الأطباء أن مرد هذه الحالة كان سببه، تناول الرجل لحم الخنزير المقدد غير المطبوخ جيدًا، وفقا لما ذكرت شبكة “سكاي نيوز” البريطانية.
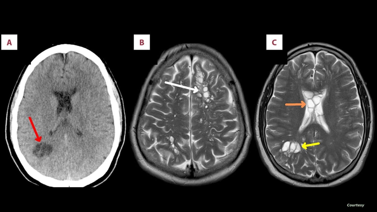
وكشف تصوير بالأشعة المقطعية أجراه أطباء لدماغ الرجل، عن بيوض الدودة الشريطية، وتم تشخيص المريض بداء الكيسات المذنَّبة العصبي.
وذلك الداء هو نوع خاص من داء الكيسات المذنبة، يحدث بسبب عدوى بالشريطية الوحيدة، وهي شريطية حقيقية (Eucestoda) تُوجد في الخنازير، والتي يمكن أن تصل إلى الأنسجة مثل العضلات والدماغ.


